Restorative Dental Treatment
Maintaining dental health is not limited to daily cleaning, but also includes therapeutic interventions that restore the natural function and appearance of teeth.

Restorative Dental Treatment
Among these interventions, restorative dental treatment stands out as one of the most important fields in modern dentistry.
This type of treatment is concerned with repairing damage to teeth caused by fractures, decay, erosion, or other factors affecting the structure of the tooth.
There are various cases that require restorative intervention, such as restoring broken teeth caused by accidents or excessive pressure, restoring decayed teeth due to neglect or weak enamel, in addition to restorative dental treatment in Turkey, which is a distinguished option for those seeking quality and medical tourism. Finally, we discuss: What is the treatment for anterior tooth erosion?
This is a common issue that affects both function and aesthetics.
It is worth mentioning that Dent Turki Center offers advanced and comprehensive solutions in restorative dental treatment, relying on the latest global technologies to provide a professional treatment experience.
Restorative Dental Treatment
Restorative dental treatment is an advanced branch of dentistry that focuses on rebuilding damaged teeth both internally and externally.

Restorative Dental Treatment
Its goal is to restore the natural function of teeth while preserving their aesthetic appearance.
Restorative treatment includes a variety of procedures such as fillings, crowns, bridges, and dental implants.
The importance of this treatment lies in its ability to prevent complete tooth loss and maintain it in its natural place for as long as possible.
The topics we will cover in this article:
- Restoring broken teeth
- Restoring decayed teeth
- Restorative dental treatment in Turkey
- What is the treatment for anterior tooth erosion?
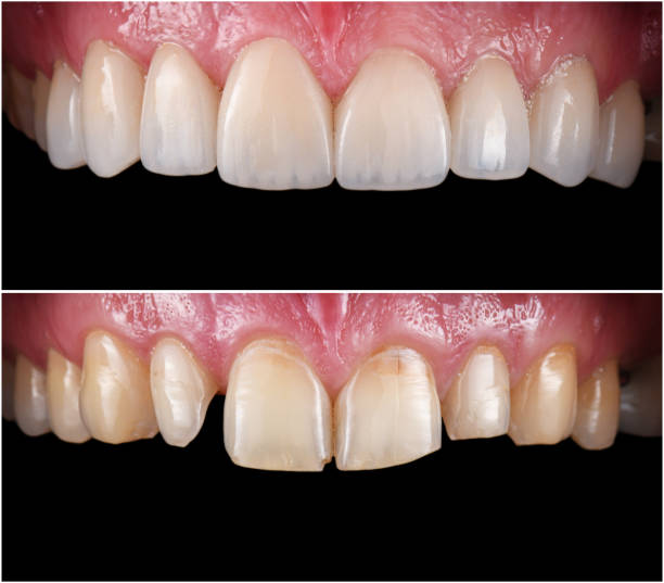
In this regard, after Ahmad broke one of his front teeth while playing football, he felt very embarrassed to smile. He visited Dent Turki Center after a recommendation from one of his relatives.
He was received professionally and underwent a 3D digital scan to assess the condition of the broken tooth.
The doctor chose a solution that combined a cosmetic filling and a veneer to unify the shape and color with the rest of the teeth.
What amazed Ahmad was the speed and precision of the treatment, as everything was completed in just two sessions.
He left the clinic with a new smile and renewed confidence and later praised the restorative dental service in a review he wrote on the clinic’s official website.
Restoring Broken Teeth
Restoring broken teeth is one of the most common procedures in restorative dental treatment.

Restoring Broken Teeth
Breaks may result from:
- Direct trauma to the mouth
- Biting on hard objects
- Cases of weak tooth enamel
In such cases, the doctor determines the type and size of the fracture to choose between several restorative options such as:
- Cosmetic fillings
- Zirconia or ceramic crowns
- Veneers for front teeth
Dent Turki Center plays a pioneering role in this field by offering precise evaluation sessions using 3D imaging, with customized solutions based on each case.
Evaluation Table for Broken Tooth Restoration Options:
| Relation to Restorative Dental Treatment | Description | Option |
|---|---|---|
| One of the most popular solutions for mild cases | Used in minor or superficial fractures | Cosmetic fillings |
| An advanced option for more complex cases | Covers the entire tooth for protection and repair | Zirconia crowns |
| Falls under aesthetic and functional restorative treatment | Enhances appearance and protects from erosion | Veneers |
Restoring Decayed Teeth
When dental hygiene is neglected, decay starts to develop gradually and may reach the tooth’s nerve.

Restoring Decayed Teeth
Therefore, restoring decayed teeth is one of the most critical steps in restorative dental treatment.
The stages of this treatment include:
- Removing decay using precision tools
- Cleaning and disinfecting the affected area
- Applying the appropriate filling, which may be:
- Composite (tooth-colored)
- Amalgam (gray, rarely used today)
Dent Turki Center uses advanced devices for early decay detection, such as the DIAGNOdent laser device, ensuring fast and effective treatment.
The clinic is distinguished by:
- Comfortable sessions for both children and adults
- High-quality cosmetic fillings
- Pain-free techniques
Evaluation Table for the Steps and Methods of Restoring Decayed Teeth:
| Relation to Restorative Dental Treatment | Application Details | Treatment Phase |
|---|---|---|
| A core step in the restorative treatment plan | Using precision tools to remove the damaged part | Decay removal |
| Proper preparation is key to successful treatment | Using antibacterial techniques to ensure a clean area | Tooth disinfection & cleaning |
| Final step to effectively complete restorative treatment | Composite for front teeth, or amalgam for some back cases | Filling placement |
Restorative Dental Treatment in Turkey
Turkey is one of the leading global destinations for restorative dental treatment due to its advanced technology and reasonable costs compared to European countries.

Restorative Dental Treatment in Turkey
Dent Turki Center holds a prestigious place among the best specialized clinics.
Advantages of Restorative Treatment in Turkey:
- Affordable treatment services
- Expert doctors in cosmetic and functional restoration
- Treatment packages that include accommodation and transportation
Dent Turki Center welcomes patients from all over the world and offers them special packages that include:
- Airport pickup
- Free diagnostic sessions
- Use of internationally approved medical materials
If you are considering medical tourism, the restorative experience in Turkey, especially at Dent Turki Center, will be unforgettable.
What is the Treatment for Anterior Tooth Erosion?
One of the problems that many suffer from without realizing the cause is tooth erosion, especially in the front teeth.

What is the Treatment for Anterior Tooth Erosion?
Here arises the question: What is the treatment for anterior tooth erosion?
As part of restorative dental treatment, this condition can be managed through:
- Using cosmetic fillings to replace the lost tooth material
- Applying veneers to improve appearance and provide protection
- Installing full crowns for severely eroded teeth
Studies indicate that causes of erosion include:
- Excessive consumption of citrus fruits
- Teeth grinding during sleep
- Frequent use of abrasive toothpaste
Dent Turki Center provides treatments specifically designed for such cases, along with dietary and behavioral guidance to prevent recurrence.
Evaluation Table for Treatment Options for Anterior Tooth Erosion:
| Relation to Restorative Dental Treatment | Expected Lifespan | Expected Effectiveness | Treatment Option |
|---|---|---|---|
| A fundamental and frequently used solution | Needs replacement every 3–5 years | Effective for mild to moderate cases | Composite fillings |
| An aesthetic highlight in cosmetic restorative dentistry | Lasts up to 10 years or more | Very effective in appearance & protection | Veneers |
| Used when other options fail | Can last more than 15 years | Very effective for advanced cases | Full crowns |
| Complements and preserves the results of restorative treatment | Lifelong | Essential to avoid recurrence | Habit adjustment |
Frequently Asked Questions
Can a broken tooth be treated in one session?
Yes, depending on the size of the fracture. At Dent Turki Center, this is done using fast and advanced techniques.
What’s the difference between veneers and crowns?
Veneers cover only the front part of the tooth, while crowns cover the entire tooth and are used in cases of severe erosion.
Is decay treatment painful?
With the use of anesthesia and laser techniques, the treatment becomes nearly painless.
Why do many prefer dental treatment in Turkey?
Because it combines high quality with reasonable prices, in addition to attractive tourism infrastructure.
In conclusion, restorative dental treatment is an ideal solution to maintain the health, function, and aesthetic appearance of teeth.
Procedures and techniques vary depending on each case.
But the common factor is the need for accurate diagnosis and precise treatment. This is where Dent Turki Center stands out as a comprehensive choice that combines expertise, quality, and psychological comfort.
If you are suffering from any fracture, decay, or erosion in your teeth, do not hesitate to visit the clinic and benefit from the advanced services offered by a professional medical team that cares about every detail.
Topics Discussed in This Article:
- Restorative Dental Treatment
- Restoring Broken Teeth
- Restoring Decayed Teeth
- Restorative Dental Treatment in Turkey
- What is the Treatment for Anterior Tooth Erosion?